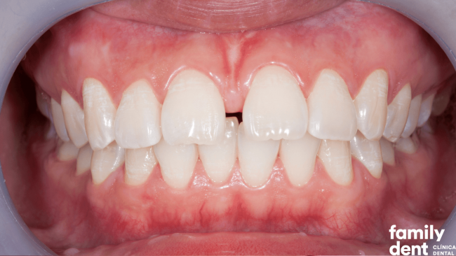
Carillas Dentales para Cerrar Espacios entre Dientes: Estética sin Ortodoncia
En Familydent, tu clínica dental en Blanes, sabemos que una sonrisa bonita y armónica es clave para la autoestima y la confianza personal. Uno de los problemas estéticos más comunes entre nuestros pacientes son los espacios entre dientes (también conocidos como diastemas). Aunque tradicionalmente estos espacios se han corregido mediante ortodoncia, hoy en día existen…









