A Familydent, la teva clínica dental a Blanes, sabem que un somriure bonic i harmònic és clau per a l’autoestima i la confiança personal. Un dels problemes estètics més comuns entre els nostres pacients són els espais entre dents (també coneguts com a diastemes). Tot i que tradicionalment aquests espais s’han corregit mitjançant ortodòncia, avui dia hi ha alternatives més ràpides i estètiques, com les facetes dentals.
En aquest article t’expliquem com les carilles dentals et poden ajudar a tancar els espais entre dents sense necessitat de portar bràquets ni alineadors durant mesos. Continua llegint i descobreix com transformar el teu somriure de manera ràpida, segura i amb resultats naturals!
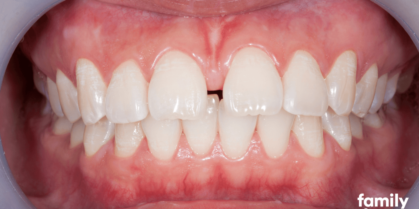
¿Què són les carilles dentals?
Les carilles dentals són unes fines làmines que es col·loquen sobre la cara frontal de les dents per millorar la seva aparença. Estan fabricades generalment en porcellana o composite, i permeten modificar la forma, la mida, el color i fins i tot la posició visual de les dents.
En el cas específic dels diastemes, les facetes són una solució ideal per tancar els espais de forma completament estètica, sense recórrer a tractaments llargs o invasius.
Per què es formen espais entre les dents?
Els espais entre les dents poden ser deguts a múltiples causes, entre elles:
- Factors genètics: algunes persones neixen amb dents més petites del que és habitual o amb una arcada més gran.
- Mals hàbits orals durant la infància, com llepar-se el dit o fer servir el xumet per massa temps.
- Pèrdua de dents sense reemplaçament adequat, cosa que pot provocar desplaçaments.
- Frenet labial massa gruixut, especialment entre els incisius superiors.
- Malaltia periodontal, que pot causar pèrdua de suport ossi i mobilitat dental.
Abans d’iniciar qualsevol tractament estètic és fonamental identificar la causa del diastema per oferir una solució duradora i adequada. A Familydent Blanes, realitzem un estudi personalitzat per a cada pacient.
Avantatges de les facetes dentals per tancar espais
Triar facetes dentals per tancar diastemes té molts avantatges:
✅ Tractament ràpid
A diferència de l’ortodòncia, que pot durar de 6 mesos a 2 anys, les facetes es poden col·locar en només dues o tres visites.
✅ Resultats immediats
Des del primer moment, el pacient pot notar un somriure harmònic i lliure despais no desitjats.
✅ Solució estètica i natural
Les facetes es dissenyen a mida per a cada pacient, escollint el color, forma i mida que millor s’adapti a la cara i el somriure.
✅ Minimitza intervencions invasives
Especialment en el cas de les facetes de porcellana ultrafines, la preparació de la dent és mínima o fins i tot nul·la, preservant al màxim l’estructura dental.
✅ Alternativa ideal per a adults
Molts adults no volen passar per un tractament tradicional d’ortodòncia. Les facetes són una opció còmoda, estètica i eficaç.
Tipus de carilles per tancar espais entre dents
A Familydent, treballem amb dos tipus principals de facetes per tractar els espais entre dents:
1. Carilles de Composite
- Material: resina composta, modelada directament sobre la dent.
- Avantatges: més econòmics, tractament més ràpid, reparables fàcilment.
- Durada: de 5 a 7 anys, amb un bon manteniment.
- Ideal per a: casos senzills i pacients que busquen una opció accessible.
2. Carilles de Porcellana
- Material: ceràmica d’alta qualitat, fabricada a mida al laboratori.
- Avantatges: més resistència, millor estètica, no es tenyeixen amb el temps.
- Durada: de 10 a 15 anys o més.
- Ideal per a: pacients que busquen resultats premium i duradors.
Ambdues opcions permeten tancar espais entre les dents sense ortodòncia, amb resultats naturals i personalitzats.
Com és el procés del tractament amb facetes a Familydent Blanes?
El tractament amb facetes dentals a la nostra clínica a Blanes segueix un procés acurat i personalitzat:
1. Primera visita: diagnòstic i planificació
Realitzem una avaluació clínica i radiològica completa, fem fotografies i analitzem l’estètica del teu somriure. També escoltem els teus objectius i expectatives.
2. Disseny Digital de Somriure (DSD)
Utilitzem eines de disseny digital perquè puguis visualitzar com quedarà el teu somriure abans de començar. Aquesta fase permet ajustar la mida i forma de les futures facetes al teu gust.
3. Prova o mock-up
Creem una maqueta provisional per provar el resultat a la boca sense modificar les teves dents. Així pots veure com quedarà el teu somriure i fer ajustaments si cal.
4. Preparació i col·locació
Segons el tipus de carilla escollida, es fa una preparació mínima de la dent. Després es col·loquen les facetes amb adhesius especials d’última generació.
5. Revisió i manteniment
Et donarem pautes d’higiene i cura per prolongar la vida útil de les teves facetes, i programarem revisions periòdiques.
Familydent, especialistes en facetes dentals a Blanes
Tancar els espais entre dents ja no implica passar mesos amb bràquets o alineadors. Gràcies a les facetes dentals, pots aconseguir un somriure alineat, harmònic i estètic de forma ràpida, còmoda i segura.
Si vius a Blanes o rodalies i estàs buscant una solució estètica sense ortodòncia, vine a Familydent. El nostre equip us assessorarà sense compromís i dissenyarà un pla de tractament 100% a la vostra mida.
Demana la teva primera consulta gratuïta i fa el primer pas cap a un somriure perfecte.






